Introductory Biomedical Imaging

Case Studies


Case Studies

Introductory Biomedical Imaging is focused on principles and practices that underlie the creation of quality biomedical images. However, the creation of images is only the beginning. Decisions about what images to create and, more particularly, what interpretation to attach to those images can require years of additional training in biology and medicine. The following “case studies” explore real-life medical imaging cases involving the authors, their families, and their pets. These case studies are intended to exemplify the breadth and prevalence of medical imaging and to provide context for the simulations that appear elsewhere on this website.

UltrasoundImage

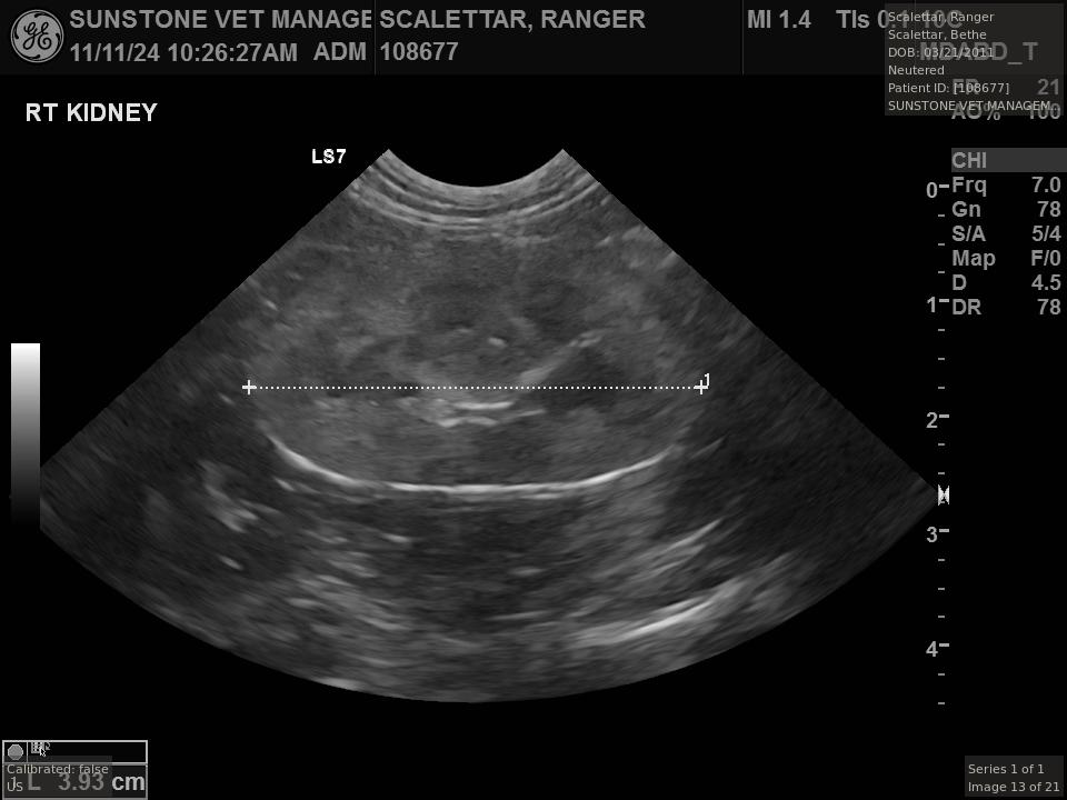
Case Study 1
Veterinary Examination

This study describes a visit to a veterinary specialist with a cat suffering from small cell lymphoma. The visit included both X-ray and ultrasound examinations.

...

Case Study 2
EGD and Colonoscopy

This study describes a visit to the hospital for a routine esophagogastroduodenoscopy (EGD) and colonoscopy.

...

Case Study 3
Eye Examinations and Eyeglass Prescriptions

This study describes two routine visits to the optometrist and interprets the resulting eyeglass prescriptions.

...

Case Study 4
Lumbar Spine MRI

This study describes an MRI examination of the lumbar spine used to identify the source(s) of lower back and leg pain and to suggest treatment options.